Pilonidal Sinus: A Radiology Deep Dive

C.Sansay 146 views
Pilonidal Sinus: A Radiology Deep Dive

Pilonidal Sinus: A Radiology Deep Dive

Hey guys! Ever heard of a pilonidal sinus ? Sounds kinda medical, right? Well, it is! Basically, it’s a small hole or tunnel in the skin, typically found near the tailbone at the top of the cleft of the buttocks. These little guys can sometimes get infected and cause a whole lotta grief. That’s where pilonidal sinus radiology steps in. Radiology, in this case, refers to the different imaging techniques we use to get a peek at what’s going on beneath the skin. It helps doctors diagnose the condition, figure out how bad it is, and plan the best way to treat it. So, let’s dive into the world of pilonidal sinus radiology , shall we?

What is a Pilonidal Sinus, Anyway?

Alright, before we get all technical with the imaging, let’s nail down the basics. A pilonidal sinus is like a tiny pocket or channel that forms in the skin. The exact cause isn’t totally clear, but it often involves hairs that get trapped under the skin. Think of it like a tiny, unwanted hair spa! The body sees these trapped hairs as foreign objects and tries to get rid of them. This can lead to inflammation, infection, and the formation of a sinus, which is basically a tunnel under the skin. It’s often filled with debris like hair, skin cells, and bacteria. The result? Pain, swelling, redness, and sometimes even pus draining from the area. Ouch! If left untreated, a pilonidal sinus can develop into a nasty abscess (a collection of pus) or a chronic, recurring problem. This is where pilonidal sinus radiology becomes super important. It helps doctors see what’s happening internally, which is way more accurate than just poking around! It also helps in determining the right treatment plan. Early diagnosis and intervention are key to preventing the whole situation from escalating into a full-blown emergency.

Now, the symptoms can range from a small dimple to a painful, infected lump. Some people might only experience mild discomfort, while others are practically crippled by the pain. So, if you’re experiencing any of these symptoms, don’t just brush it off! See a doctor, and they might recommend some imaging to get a better understanding of what’s happening.

Imaging Techniques Used in Pilonidal Sinus Radiology

So, what tools do doctors use to take a peek inside and diagnose those pesky pilonidal sinus issues? Well, it’s a range of imaging techniques, each with its own strengths and weaknesses. The choice of which method to use depends on various factors, including the severity of the symptoms, the doctor’s suspicion of complications, and the availability of different imaging modalities. Let’s break down the main players in the world of pilonidal sinus radiology :

1. Ultrasound

Ultrasound is often the first go-to for investigating a suspected pilonidal sinus . Why? Because it’s readily available, relatively inexpensive, and doesn’t use any ionizing radiation (meaning it’s safe!). Think of ultrasound as using sound waves to create images. The probe sends out high-frequency sound waves, which bounce off the tissues and create echoes. These echoes are then translated into an image on a screen. Ultrasound can help doctors visualize the sinus tract, identify any abscesses, and assess the extent of the infection. It’s particularly useful for guiding procedures like draining an abscess. One of the major advantages of ultrasound is its ability to differentiate between a simple sinus and more complex issues. It can also help evaluate the presence of fluid collections, helping determine if an abscess is forming or has already developed. Additionally, ultrasound is dynamic, allowing real-time assessment, for example, if the doctor needs to find out if the sinus tract is connected to the deeper tissues. It is a good choice for initial assessment and follow-up.

2. Computed Tomography (CT Scan)

A CT scan is a more detailed imaging technique that uses X-rays to create cross-sectional images of the body. Think of it as taking a bunch of slices of the area of concern. The images can then be combined to create a 3D view. CT scans are particularly useful when the infection is severe or when there are concerns about complications, like the spread of infection to deeper tissues or the presence of a fistula (an abnormal connection between the sinus and another structure). The images are incredibly detailed, allowing doctors to precisely assess the size and extent of the sinus tract, look for any fluid collections (abscesses), and evaluate the surrounding tissues for signs of inflammation or infection. While CT scans provide excellent images, they expose the patient to ionizing radiation, which means there is a small risk associated with them. The benefits of the detailed information gained usually outweigh the risk, especially when the case is complex. Pilonidal sinus radiology will sometimes use CT scans to check how advanced the disease has become.

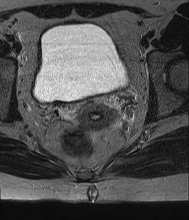
3. Magnetic Resonance Imaging (MRI)

MRI is another powerful imaging technique, but it uses strong magnetic fields and radio waves instead of X-rays. It’s particularly good at visualizing soft tissues, which makes it ideal for evaluating pilonidal sinuses . MRI offers incredibly detailed images, far better than those provided by an X-ray. It can help doctors to get an accurate picture of the sinus tract, detect any associated abscesses, and assess the involvement of the surrounding tissues. It can differentiate between inflamed tissue and fluid, making it easier to assess the extent of the infection. MRI is often used when a patient is a candidate for complex surgical procedures or when the initial treatment is not working. The ability to see soft tissues in such detail allows for better pre-operative planning. It is also a valuable tool for ruling out other conditions that might mimic a pilonidal sinus , such as a tumor. Pilonidal sinus radiology will often consider this more advanced approach.

4. Fistulography

Fistulography is a specialized procedure that involves injecting a contrast dye into the sinus tract and then taking X-rays. This helps doctors visualize the exact path of the sinus and any branches or extensions. It is not as commonly used as ultrasound, CT, or MRI. The dye will highlight the exact course of the sinus, which is especially helpful when planning surgery or if the sinus is complex or has multiple tracts. The main advantage is that it provides a detailed map of the sinus anatomy, which helps surgeons remove all the affected tissue and reduces the chance of recurrence. Fistulography can be very useful in cases where the sinus is difficult to visualize with other imaging techniques or when there are concerns about the presence of multiple tracts or complex branching.

Why is Radiology Important?

So, why is pilonidal sinus radiology such a big deal? Well, it plays a vital role in several aspects of the diagnosis and treatment process:

Accurate Diagnosis

Radiology helps confirm the diagnosis of a pilonidal sinus . While a doctor can often suspect it based on a physical examination, imaging provides definitive evidence and can rule out other conditions that might be causing similar symptoms, such as an abscess from a different cause or even a rare tumor. By visualizing the sinus tract and surrounding tissues, radiologists and doctors can make an accurate diagnosis.

Assessing the Severity

Radiology helps in assessing the severity of the condition. Imaging techniques can help doctors determine the size and depth of the sinus, whether there is an associated abscess, and the extent of the infection. This information helps them plan the best course of treatment.

Guiding Treatment

Pilonidal sinus radiology guides the treatment. For example, ultrasound can be used to guide the drainage of an abscess. Imaging helps surgeons plan the surgery and determine the best approach. It can also help evaluate the effectiveness of the treatment.

Detecting Complications

Radiology helps doctors detect complications, such as the spread of infection or the formation of a fistula. Detecting these complications early is crucial to prevent the condition from worsening.

Monitoring Response to Treatment

Imaging can be used to monitor the response to treatment. For example, ultrasound can be used to assess if an abscess is shrinking or if the sinus is healing after surgery. This helps doctors to evaluate the effectiveness of the treatment plan.

Conclusion: The Importance of Pilonidal Sinus Radiology

Alright guys, that’s the lowdown on pilonidal sinus radiology ! It’s a critical tool in diagnosing, assessing, and managing this sometimes-painful condition. From the initial ultrasound to the more advanced techniques like CT scans and MRIs, imaging plays a vital role in helping doctors understand what’s happening beneath the skin and develop the best treatment plan for each patient. So, if you’re experiencing symptoms of a pilonidal sinus , don’t delay in seeking medical attention. Early diagnosis and treatment can prevent the condition from worsening and help you get back to feeling your best. And remember, understanding the role of pilonidal sinus radiology empowers you to be an active participant in your healthcare journey. It’s all about getting the right information to make informed decisions and live a healthier, happier life! Hope you found this helpful, and remember, if something feels off, get it checked out! Your health is your wealth.