Hockey Stick Mitral Valve Echo Explained

C.Sansay 114 views
Hockey Stick Mitral Valve Echo Explained

Hockey Stick Mitral Valve Echo Explained

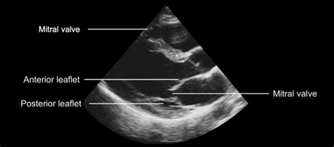
Hey guys, let’s dive into something super interesting in the world of medical imaging: the hockey stick mitral valve echo . You’ve probably heard this term thrown around if you’re dealing with echocardiograms or cardiac conditions, and it’s a pretty cool visual descriptor that helps doctors understand what’s going on with the mitral valve. Basically, when we talk about a hockey stick mitral valve echo , we’re referring to a specific appearance of the mitral valve leaflets on an echocardiogram, especially during diastole (when the heart is relaxing and filling with blood). Imagine a hockey stick, right? It’s got that long shaft and a curved blade. In echocardiography, this shape refers to the anterior mitral valve leaflet. Normally, this leaflet should move quite freely and widely open to allow blood to flow from the left atrium into the left ventricle. However, when it takes on that hockey stick appearance, it means the leaflet is restricted in its movement, often appearing elongated and curved, much like the stick itself. This restriction isn’t just for show; it signifies an underlying issue with the valve’s function. The most common culprit behind this specific echo finding is hypertrophic cardiomyopathy (HCM) , a condition where the heart muscle, particularly the left ventricle, becomes abnormally thick. This thickening can distort the normal anatomy of the mitral valve and its supporting structures. In HCM, the thickened septum (the wall between the ventricles) can encroach upon the space where the mitral valve should open, leading to abnormal blood flow dynamics. The anterior mitral valve leaflet, in response to this altered flow and the proximity of the thickened septum, gets ‘sucked’ or pulled towards the septum during diastole. This abnormal motion creates the characteristic hockey stick shape seen on the echo. So, when your cardiologist says they see a hockey stick mitral valve echo , they’re essentially telling you that they’ve observed this specific, abnormal leaflet motion which is a strong indicator of hypertrophic cardiomyopathy or other conditions that cause similar dynamic obstruction. It’s a crucial piece of the diagnostic puzzle, helping them pinpoint the cause of symptoms like shortness of breath, chest pain, or palpitations that patients might be experiencing. The visualization is key here, and echocardiography is brilliant at providing these dynamic, real-time images of the heart’s intricate workings. Understanding this visual cue allows for a more accurate diagnosis and, consequently, a tailored treatment plan for the patient. We’ll delve deeper into why this happens and what it means for your health.

The Mechanics Behind the Hockey Stick Shape

Alright, let’s get a bit more technical, guys, but still keep it super understandable. So, why exactly does that mitral valve leaflet look like a hockey stick on the echo? It all boils down to the hemodynamics and anatomy changes associated with certain heart conditions, primarily hypertrophic cardiomyopathy (HCM). In HCM, remember, the heart muscle, especially the interventricular septum (the wall between your left and right ventricles), gets really thick. This thickening isn’t uniform; it can be more pronounced in certain areas. Now, think about the mitral valve. It’s designed to open wide during diastole to let blood flood into the left ventricle. The anterior leaflet, the one we’re focused on, is quite large and mobile. When the septum becomes excessively thick, it bulges inwards towards the left ventricular cavity. During diastole, as the left ventricle fills, the pressure changes. Crucially, in HCM, there’s often a phenomenon called dynamic left ventricular outflow tract (LVOT) obstruction . This means that the thickened septum and sometimes other structures can narrow the pathway where blood exits the left ventricle. As blood tries to flow through this narrowed area, it creates a jetting effect, and this altered blood flow pattern is super important. The anterior mitral valve leaflet, being highly mobile, gets caught up in this abnormal flow. It’s kind of like a flag in a strong wind. Instead of opening freely, it gets pulled or ‘sucked’ towards the abnormally positioned, thickened septum. This pulling action causes the leaflet to adopt that characteristic elongated, curved shape – the hockey stick appearance. It’s not that the leaflet itself is intrinsically abnormal in its structure (though sometimes it can be), but rather its motion is dramatically altered due to the surrounding abnormal anatomy and pressure gradients. This dynamic pulling can even cause the mitral valve to partially close during diastole, hindering the heart’s ability to fill properly. This reduced filling can lead to symptoms like shortness of breath because the heart can’t pump enough oxygenated blood to the body. The echo machine, with its sound waves, creates detailed images of these movements. The specific way the anterior leaflet moves and its position relative to the septum during the cardiac cycle is what the echocardiographer looks for to identify this pattern. It’s a direct visual clue that something is causing this abnormal flow and leaflet behavior. So, it’s a consequence of the disease process, a visual manifestation of the mechanical chaos happening inside the heart due to the thickened muscle and altered blood flow. This understanding is vital because it guides the physician in confirming the diagnosis of HCM and assessing the severity of the potential obstruction.

Causes and Associated Conditions

Guys, when we see that tell-tale hockey stick mitral valve echo , it’s almost always pointing towards specific underlying issues. The most common and significant cause is undoubtedly hypertrophic cardiomyopathy (HCM) . As we’ve discussed, HCM is a genetic heart muscle disease where the heart muscle thickens abnormally. This thickening, particularly of the septum, is the primary driver for the abnormal motion of the anterior mitral valve leaflet. The way the thickened septum bulges into the left ventricle and interferes with the mitral valve’s opening during diastole is what creates that ‘hockey stick’ appearance. It’s a classic sign that points strongly towards HCM. However, it’s important to know that while HCM is the leading cause, other conditions can sometimes mimic this finding or be associated with it. For instance, dynamic left ventricular outflow tract (LVOT) obstruction , which is a hallmark of HCM, can sometimes be seen in other situations, though less commonly. This obstruction occurs when the space where blood leaves the left ventricle narrows during systole (when the heart pumps). In HCM, this narrowing is often exacerbated during diastole by the mitral valve leaflet being drawn towards the septum, contributing to the hockey stick appearance. So, the LVOT obstruction and the hockey stick mitral valve echo are often two sides of the same coin in HCM. Another condition that might present with some similar features, although typically less pronounced, is athlete’s heart . This is a condition where the heart enlarges and thickens in response to intense, prolonged endurance training. While usually a benign adaptation, in some extreme cases, the thickening might be significant enough to cause some degree of dynamic obstruction or altered leaflet motion that could resemble the hockey stick appearance. However, it’s usually not as dramatic as what’s seen in HCM. It’s also crucial to rule out mitral valve prolapse (MVP) , although MVP itself doesn’t typically cause the classic hockey stick shape. In some cases, a patient might have MVP and HCM, and the findings could be complex. The key differentiator is the leaflet’s movement relative to the septum during diastole, which is the defining characteristic of the hockey stick sign. The ultrasound waves used in echocardiography allow us to meticulously track this movement. When we look at the echo, we’re assessing not just the leaflet’s shape but its dynamic behavior throughout the cardiac cycle. The hypertrophy of the septum pushing into the LVOT is the core reason. It’s this mechanical interaction that forces the anterior leaflet into that characteristic posture. So, while HCM is the main suspect, a skilled cardiologist will consider the full clinical picture and potentially other less common causes when interpreting this finding. The hockey stick mitral valve echo is a powerful visual cue, but it’s always interpreted within the broader context of the patient’s overall cardiac health and symptoms.

Diagnosis and What it Means for Patients

So, you’ve had an echocardiogram, and the report mentions a hockey stick mitral valve echo . What does this actually mean for you, guys, and how does it guide the diagnostic process? Well, first off, it’s a significant finding that almost always warrants further investigation, especially regarding hypertrophic cardiomyopathy (HCM) . As we’ve hammered home, this echo appearance is a classic indicator that the heart muscle might be thickened and causing dynamic obstruction. Your doctor will use this finding as a major clue to confirm or rule out HCM. They’ll look at other parts of the echocardiogram very carefully: the thickness of the septum and the posterior wall of the left ventricle, the size of the left ventricular cavity, and the function of the mitral valve itself. They’ll also be checking for the extent of the LVOT obstruction, which is often related to the severity of the hockey stick appearance. Beyond the echo, your doctor will likely consider genetic testing, as HCM is often inherited. They might also recommend an electrocardiogram (ECG), which can show characteristic changes in HCM, and possibly cardiac MRI for a more detailed view of the heart muscle. The presence of a hockey stick mitral valve echo means your heart is likely not pumping blood as efficiently as it should, even if you aren’t experiencing obvious symptoms yet. This can increase the risk of certain complications, such as heart failure, arrhythmias (irregular heartbeats), and in rare cases, sudden cardiac death, particularly in younger individuals. Therefore, a diagnosis of HCM, strongly suggested by the hockey stick echo, requires careful management. Treatment typically focuses on managing symptoms and reducing risks. This might involve medications to relax the heart muscle, slow the heart rate, and reduce blood pressure, helping to ease the workload on the heart and improve filling. In some cases, if the obstruction is severe and medications aren’t sufficient, procedures like septal myectomy (surgically removing a portion of the thickened septum) or alcohol septal ablation might be considered. Lifestyle modifications are also crucial, such as avoiding strenuous competitive sports if there’s significant obstruction or risk, and maintaining a healthy diet and weight. The hockey stick mitral valve echo isn’t just a quirky name; it’s a critical diagnostic marker that signals a potentially serious heart condition. It empowers your medical team to investigate thoroughly, provide an accurate diagnosis, and implement a proactive management plan to protect your heart health and improve your quality of life. So, while it might sound a bit concerning, think of it as your heart giving us a visual cue that needs attention, allowing for timely intervention.

Treatment and Management Strategies

Okay guys, so we’ve identified the hockey stick mitral valve echo and linked it strongly to conditions like hypertrophic cardiomyopathy (HCM). Now, what’s the game plan? How do we actually treat and manage this? The overarching goal is to alleviate symptoms, improve the heart’s function, and most importantly, reduce the risk of serious complications. Since HCM is often the underlying cause, the management strategies are geared towards addressing the thickened heart muscle and the resulting obstruction. Medications are usually the first line of defense. Beta-blockers are commonly prescribed. They work by slowing down your heart rate and reducing the force of contraction, which decreases the demand on the heart muscle and can help relax it. This slowing of the heart rate also allows more time for the left ventricle to fill properly during diastole, which can be impaired when the mitral valve motion is restricted. Calcium channel blockers are another class of drugs that might be used. They help relax the blood vessels, lowering blood pressure, and can also help relax the heart muscle itself, reducing obstruction. In some instances, specific medications like ranolazine might be used to improve diastolic function and reduce symptoms. Diuretics might be prescribed if there’s fluid buildup (congestion), which can happen if the heart isn’t pumping effectively. For patients experiencing significant symptoms despite medication, or those at high risk of sudden cardiac death, more invasive options might be considered. Surgical septal myectomy is a procedure where a surgeon removes a portion of the thickened interventricular septum. This directly reduces the obstruction in the left ventricular outflow tract, allowing for better blood flow and often improving mitral valve function. It’s a highly effective procedure but is major surgery. Alcohol septal ablation is a less invasive alternative. In this procedure, a controlled amount of alcohol is injected into a small artery supplying the thickened part of the septum. This causes a small heart attack in that area, leading to scarring and thinning of the muscle, thus reducing the obstruction. Pacemaker therapy can also play a role in some specific cases of HCM with conduction abnormalities. Lifestyle modifications are also a crucial part of management. For individuals with significant LVOT obstruction, participation in strenuous competitive athletics might be discouraged due to the increased risk of dangerous arrhythmias during intense exertion. Regular, moderate exercise is generally encouraged, but the intensity and type should be discussed with your cardiologist. Maintaining a healthy weight , eating a balanced diet low in sodium, and avoiding excessive alcohol are also important for overall heart health. Regular follow-up appointments and echocardiograms are essential to monitor the heart’s structure and function, track the effectiveness of treatment, and adjust the management plan as needed. Genetic counseling and testing might also be recommended for families, as HCM can be hereditary, allowing other at-risk family members to be screened. The key takeaway is that while a hockey stick mitral valve echo indicates a potential problem, it’s a signpost for effective diagnosis and management, enabling doctors to implement strategies that can significantly improve outcomes and quality of life for patients.

The Role of Echocardiography in Detection

Guys, let’s talk about the unsung hero in detecting that hockey stick mitral valve echo : echocardiography . This imaging technique is absolutely critical, and honestly, it’s the gold standard for visualizing this specific abnormality. Echocardiography, or ‘echo’ as we commonly call it, uses high-frequency sound waves to create real-time images of your heart. Think of it like sonar for your heart! A technician, usually called a sonographer, places a transducer (a wand-like device) on your chest, and these sound waves bounce off the different structures of your heart – the chambers, the walls, and of course, the valves. The echoes are then processed by a computer to build detailed pictures and even moving images of your heart in action. For detecting the hockey stick mitral valve echo , echocardiography is invaluable because it allows us to see the dynamic motion of the mitral valve leaflets throughout the cardiac cycle. We’re not just looking at a static picture; we’re watching how the anterior mitral valve leaflet moves as the heart beats. In a healthy heart, this leaflet opens widely and gracefully during diastole to allow blood flow. However, in conditions like hypertrophic cardiomyopathy (HCM), the thickened septum pushes into the ventricular cavity. The echocardiogram clearly shows how this abnormal anatomy affects the leaflet’s movement. We can visually track the anterior leaflet being drawn towards the thickened septum, creating that characteristic elongated, curved, ‘hockey stick’ shape. Different views within the echocardiogram, like the parasternal long-axis view, are particularly useful for observing this phenomenon. Doppler ultrasound, another component of echocardiography, can also assess blood flow patterns. It can help quantify the degree of left ventricular outflow tract (LVOT) obstruction that often accompanies the hockey stick mitral valve appearance. This helps the doctor understand the severity of the condition and its impact on blood flow. The diagnostic power of echo is immense. It can differentiate between various causes of heart conditions, assess the extent of muscle thickening, measure chamber sizes, and evaluate overall heart function. When it comes to the hockey stick mitral valve echo , it’s a very specific sign that guides the clinician towards a diagnosis of HCM or similar obstructive conditions. Without echocardiography, identifying this subtle yet significant dynamic abnormality would be incredibly difficult, if not impossible. It’s a non-invasive, readily available, and highly informative tool that provides a window into the intricate mechanics of the heart, allowing for precise diagnosis and effective management planning. So, next time you hear about an echo, remember it’s a sophisticated piece of technology doing some truly amazing work, especially when it comes to spotting signs like the hockey stick mitral valve.