Follicular Lymphoma ICD-10 Codes Explained

C.Sansay 12 views
Follicular Lymphoma ICD-10 Codes Explained

Understanding Follicular Lymphoma and Its ICD-10 Codes

Hey everyone! Today, we’re diving deep into follicular lymphoma ICD-10 codes. This is a topic that might sound a bit technical, but trust me, it’s super important for healthcare professionals, researchers, and even patients trying to understand medical records. Follicular lymphoma is a type of non-Hodgkin lymphoma, and it’s the second most common type overall. It’s a slow-growing cancer that starts in the lymphocytes, a type of white blood cell. The name comes from the fact that the cancerous cells grow in a follicle-like pattern within the lymph nodes. Now, when it comes to classifying and tracking this disease for medical billing, statistical analysis, and research, we rely on the International Classification of Diseases, 10th Revision (ICD-10). These codes are the universal language for diagnosing diseases and health conditions. Getting the right ICD-10 code for follicular lymphoma is crucial for accurate record-keeping and ensuring that patients receive the correct care and insurance coverage. So, let’s break down what follicular lymphoma is and how these ICD-10 codes come into play.

What Exactly is Follicular Lymphoma?

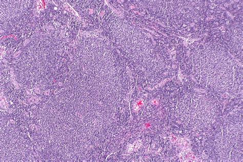
So, guys, let’s get real about follicular lymphoma . This isn’t just some random term; it’s a specific type of cancer that affects your lymphatic system. Think of your lymphatic system as a crucial part of your immune defense, a network of vessels and nodes that help your body fight off infections. Follicular lymphoma originates in B-cells, which are a type of white blood cell responsible for producing antibodies. These cancerous B-cells start multiplying uncontrollably, typically forming tumor clusters within the lymph nodes, but they can also appear in other parts of the body like the spleen, bone marrow, and even the digestive tract. The ‘follicular’ part of the name refers to the microscopic appearance of these cancerous cells; they tend to cluster in structures called germinal centers, which resemble follicles. What makes follicular lymphoma unique, and often a source of concern, is its generally slow-growing nature . This means that many people can live with it for years, sometimes without even knowing they have it. However, it’s still a cancer, and it can, in some cases, transform into a more aggressive form of lymphoma, like diffuse large B-cell lymphoma. The diagnosis usually involves a biopsy of an affected lymph node, where a pathologist examines the cells under a microscope and may perform various tests to confirm the diagnosis and determine the specific subtype. Staging is another critical step, which helps doctors understand how far the lymphoma has spread. This involves imaging tests and sometimes bone marrow biopsies. All this information is vital for treatment planning and, importantly for our discussion today, for assigning the correct ICD-10 codes. Understanding the biology of follicular lymphoma helps us appreciate why precise coding is so important for tracking its prevalence, treatment outcomes, and research efforts.

The Role of ICD-10 Codes in Healthcare

Alright, let’s talk about why these follicular lymphoma ICD-10 codes are such a big deal in the medical world. Basically, ICD-10 codes are like a secret language that doctors, hospitals, insurance companies, and researchers all use to talk about diseases and health conditions. The International Classification of Diseases, or ICD, is a system developed by the World Health Organization (WHO) to standardize medical diagnoses and procedures. The 10th Revision, ICD-10, is what most countries, including the United States, currently use. When a doctor diagnoses a patient with follicular lymphoma, they assign a specific ICD-10 code to that diagnosis. This code isn’t just for show; it has several critical functions. First and foremost, it’s essential for billing and insurance claims . Insurance companies need these codes to understand what services were provided and to determine how much to reimburse healthcare providers. Without accurate codes, claims can be rejected, leading to headaches for both patients and providers. Secondly, these codes are vital for statistical analysis and public health . By tracking the number of cases associated with specific ICD-10 codes, health organizations can monitor disease prevalence, identify trends, and allocate resources effectively. This data is crucial for understanding the burden of diseases like follicular lymphoma on the population and for planning public health initiatives. Thirdly, ICD-10 codes are indispensable for medical research . Researchers use coded data to study disease patterns, treatment effectiveness, and patient outcomes. This helps advance our understanding of conditions like follicular lymphoma and leads to better treatments and potential cures. Finally, accurate coding ensures consistent patient records . When a patient moves or sees different specialists, having standardized diagnostic codes means all healthcare providers have a clear and consistent understanding of their medical history. So, when we talk about follicular lymphoma ICD-10, we’re talking about the precise alphanumeric codes that represent this specific diagnosis within this global coding system. It’s the backbone of medical information management, ensuring accuracy, efficiency, and progress in healthcare.

Specific ICD-10 Codes for Follicular Lymphoma

Now, let’s get down to the nitty-gritty: the actual follicular lymphoma ICD-10 codes you’ll encounter. It’s important to remember that ICD-10 codes are quite specific, and there isn’t just one single code for all types of follicular lymphoma. The codes are hierarchical, meaning they get more detailed as you go further down the classification. For follicular lymphoma, the primary category we look at falls under the broader umbrella of ‘Malignant neoplasms of lymphoid, hematopoietic and related tissue.’ Within this, follicular lymphoma is typically classified under ‘Malignant neoplasms of lymph nodes’ . The specific codes you’ll most commonly see are:

  • C82.0 - Follicular lymphoma grade I : This code represents the lowest grade of follicular lymphoma, characterized by a low number of large lymphoma cells within the follicles. It’s generally considered the most indolent or slow-growing form.
  • C82.1 - Follicular lymphoma grade II : This code signifies grade II follicular lymphoma, which has a higher proportion of large lymphoma cells compared to grade I. It’s further divided into subcategories:
    • C82.10 - Follicular lymphoma grade II, unspecified NOS
    • C82.11 - Follicular lymphoma grade IIa
    • C82.12 - Follicular lymphoma grade IIb
  • C82.2 - Follicular lymphoma grade III : This code is for grade III follicular lymphoma, which has a significantly higher number of large lymphoma cells. It is also subdivided:
    • C82.20 - Follicular lymphoma grade III, unspecified NOS
    • C82.21 - Follicular lymphoma grade IIIa
    • C82.22 - Follicular lymphoma grade IIIb

It’s really important to note that grades IIIa and IIIb are often treated differently than grades I and II, and they have a higher potential for transformation into more aggressive lymphomas. Grade IIIb follicular lymphoma , in particular, is often considered a distinct entity due to its cellular composition and behavior.

  • C82.8 - Other specified types of follicular lymphoma : This code is used when the lymphoma doesn’t fit neatly into the defined grades or when there are specific, documented variations.
  • C82.9 - Follicular lymphoma, unspecified : This is a general code used when the specific grade of follicular lymphoma isn’t documented or known. It’s generally used as a fallback when more specific information isn’t available.

When a healthcare provider is coding a patient’s diagnosis, they will use the most specific code available based on the pathology report and clinical findings. For instance, if a patient has follicular lymphoma and the biopsy shows it’s grade I, the coder would use C82.0. If it’s grade IIa, they’d use C82.11. The choice of code directly impacts how the condition is recorded and reported, influencing treatment protocols, research data, and billing accuracy. So, understanding these distinctions is key for anyone involved in the medical documentation process related to follicular lymphoma.

Challenges and Nuances in Coding Follicular Lymphoma

Okay, so you might think assigning follicular lymphoma ICD-10 codes is as simple as looking up the disease and picking a number. But guys, let me tell you, it’s often a lot more complex than that! There are definitely some tricky parts and nuances that coders, physicians, and anyone dealing with medical records need to be aware of. One of the biggest challenges is the evolving nature of diagnostic criteria and classification systems . Medical science is constantly advancing, and how we understand and classify diseases like follicular lymphoma can change over time. ICD-10 itself is updated periodically to reflect these changes. For example, the way follicular lymphoma grades are defined and distinguished has been refined, meaning the specific codes and their interpretations might shift. Another significant challenge is documentation quality . For a coder to choose the most accurate and specific ICD-10 code, the physician’s documentation in the patient’s medical record must be thorough and precise. If the physician doesn’t clearly specify the grade of follicular lymphoma, or if there’s ambiguity in the pathology report, the coder might be forced to use a less specific code (like C82.9, unspecified), which isn’t ideal for detailed analysis or treatment planning. Distinguishing follicular lymphoma from other B-cell lymphomas can also be difficult. Some lymphomas can have overlapping features, and subtle differences in cell morphology or immunophenotype might require expert pathological review to ensure the correct diagnosis and, consequently, the correct ICD-10 code are assigned. Furthermore, coding for complications or related conditions adds another layer of complexity. A patient with follicular lymphoma might also have other health issues, such as infections, side effects from treatment, or other co-morbidities. Each of these conditions requires its own ICD-10 code, and coders need to ensure all relevant diagnoses are captured accurately and sequenced appropriately according to coding guidelines. The distinction between follicular lymphoma and its transformation into a more aggressive lymphoma is also critical. Follicular lymphoma can transform into diffuse large B-cell lymphoma (DLBCL), and it’s essential to code the specific condition accurately. If transformation has occurred, the code for DLBCL would be used, or potentially a combination code if the system allows for it and the documentation supports it. Finally, coding for research purposes versus clinical billing can sometimes have slightly different requirements or emphasis, though the fundamental codes remain the same. Researchers might need more granular data that isn’t always captured in standard clinical billing codes. So, while the ICD-10 system aims for standardization, the reality of medical practice means that coding follicular lymphoma requires a deep understanding of the disease, meticulous documentation, and a keen eye for detail to navigate these challenges effectively.

The Impact of Accurate Coding on Patient Care and Research

Let’s wrap this up by talking about why getting these follicular lymphoma ICD-10 codes right is not just a bureaucratic detail, but something that genuinely impacts real people and the future of medicine. When we talk about accurate coding , we’re talking about a ripple effect that touches everything from a patient’s immediate treatment to long-term medical advancements. Firstly, for the patient’s direct care , accurate ICD-10 codes are fundamental for insurance authorizations and reimbursements. If the wrong code is used, a claim might be denied, leaving the patient responsible for significant medical costs. This can create immense financial stress during an already difficult time. Beyond just billing, accurate coding ensures that the medical team has a clear and consistent understanding of the patient’s diagnosis . This helps in making informed decisions about treatment plans, monitoring progress, and predicting potential outcomes. For a slow-growing cancer like follicular lymphoma, knowing the specific grade and subtype, as reflected in precise ICD-10 codes, is crucial for tailoring therapy. It means the difference between watchful waiting and more aggressive interventions. Secondly, the impact on medical research is monumental. Think about it: researchers rely heavily on large datasets of coded medical information to study diseases. If the codes are inaccurate or too general, the data becomes unreliable. This can hinder efforts to understand the epidemiology of follicular lymphoma, identify risk factors, evaluate the effectiveness of different treatments, and discover new therapeutic targets. Imagine a study trying to compare outcomes for follicular lymphoma grade I versus grade II – if these distinctions aren’t coded correctly, the study’s conclusions could be fundamentally flawed. Accurate coding allows for the tracking of disease trends and outcomes on a population level . Health organizations can identify areas where follicular lymphoma is more prevalent, understand survival rates associated with different subtypes, and allocate resources for screening, treatment centers, and support services more effectively. This is vital for improving public health strategies. Furthermore, the development of new treatments is often fueled by insights gained from analyzing coded data. When researchers can accurately track which treatments are working for which specific subtypes of follicular lymphoma, it accelerates the pace of innovation. So, you see, guys, that seemingly small detail – the ICD-10 code for follicular lymphoma – is actually a linchpin in the entire healthcare ecosystem. It ensures patients get the care they need without undue financial burden, and it provides the essential data foundation for advancing medical knowledge and ultimately finding better ways to combat diseases like follicular lymphoma. It’s a powerful example of how precision in data management translates directly into better health outcomes for everyone.